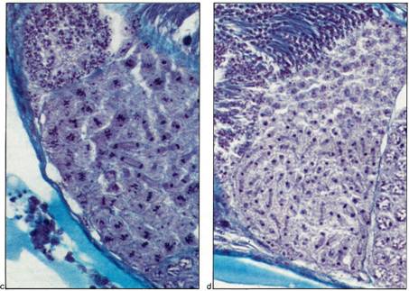
Coupe transversale de testicule de Grillon
Conditions d’achèvement
Coupe transversale de testicule de Grillon


division de méiose c) cellules aux stades métaphase et anaphase de la 1ère division de méiose d) cellules au stade anaphase de la 2e division de méiose.
a) mitoses goniales (cellules mères) b) cellules au stade prophase de la première
Modifié le: vendredi 6 octobre 2017, 09:10